(495)
Контактный телефон: 443-99-93

Статьи

Эффективный гель для полости рта

Эффективный гель для полости рта 27.12.2016

Наверняка, каждый из нас сталкивался с такими неприятными проблемами как стоматит, воспаления после удаления зубов и другими патологиями полости рта. Эти заболевания весьма неприятны и не дают возможности нормально питаться, вызывая постоянный дискомфорт. Попадая в такую ситуацию, первым...

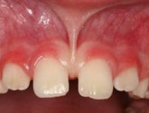
Пластика преддверия ротовой полости

Пластика преддверия ротовой полости 17.08.2016

Хирургическая пластика преддверия ротовой полости (вестибулопластика) показана людям с мелким преддверием или при высоком прикреплении к деснам внутриротовых мышц, а также при лечении пародонтита, гингивита и протезировании зубов. В ходе операционного вмешательства пластический хирург...

Как состояние зубов влияет на весь организм?

Как состояние зубов влияет на весь организм? 17.12.2014

Ни для кого не секрет, что за своим здоровьем нужно следить в первую очередь. При современном же ритме жизни все привыкли ставить в приоритет совсем другие проблемы, и для многих это работа. Но ведь, строя, к примеру, деревянные дома из клееного бруса, вы стараетесь сделать это...

Здоровье дёсен и зубов

Здоровье дёсен и зубов 23.09.2014

Чтобы надолго сохранить здоровье зубов и дёсен, необходимо тщательно следить за ротовой полостью. Зубные нити, щётки, порошки, пасты, жидкости для полоскания – знакомый всем с детства набор инструментов и средств для ухода за дёснами и зубами. Фибровейн купить, как и перечисленные выше...

Различные этапы жизни предполагают свои стоматологические нюансы

Различные этапы жизни предполагают свои стоматологические нюансы 16.09.2014

В детстве многие люди боятся стоматологов, но с пониманием того, какую роль в жизни отыгрывает улыбка и здоровье зубов, мы готовы пересилить свой страх и каждые полгода или год обязательно посещать своего врача. Исходя из результатов многочисленных опросов известно, что зубная боль...

Как перестать бояться стоматолога

Как перестать бояться стоматолога 16.09.2014

Несмотря на все достижения в области стоматологии, над разумом многих людей все еще властвуют стереотипы касательно страшных зубных врачей, имеющих настоящие орудия пыток — стоматологические установки, устрашающего вида медицинские инструменты и прочее. Но одно дело, когда человек...

Как полоскать зуб содой

Как полоскать зуб содой 15.09.2014

Порой зубная боль застаёт в самые неожиданные моменты. Явление это не из приятных. Причиной внезапной острой зубной боли может стать пульпит или воспаление. Также может возникнуть остаточная боль. Её причинами могут быть последствия лечения или удаления зуба, а также удаления нерва....

Как правильно организовать плановые визиты ребенка к стоматологу

Как правильно организовать плановые визиты ребенка к стоматологу 15.09.2014

Чтобы своевременно заметить возможные нарушения, сохранить малышу красивые здоровые зубы, необходимо, начиная с самого раннего возраста, регулярно посещать стоматолога. Именно этот врач должен оказать необходимое вмешательство, назначить лечение, если увидит, что его помощь уже нужна...

Как убрать налёт с зубов

Как убрать налёт с зубов 14.09.2014

Что такое голливудская улыбка и почему актёры с такой готовностью дарят её всем? Потому, что их зубы белые и ровные! Очень часто люди не могут похвастаться белизной зубов. Желтый налет не позволяет быть уверенными, открыто улыбаться собеседнику. Есть ли возможность избавиться от...

Как убрать щели между зубами

Как убрать щели между зубами 13.09.2014

Ровные, красивые зубы это не только эстетически красиво, но и показатель физиологического строения ротовой полости. Некоторые люди имеет на передних зубах щель, в медицине она называется диастема. Если вы хотите от неё избавиться, то это вполне возможно. Современная медицина предлагает...